De Hitlergroet van Geert Hoste
-
Wil. - Lid geworden op: 15 nov 2005, 19:41
Die was er rap bij. Van vader op zoon doorgegeven, vermoedelijk ...twistenopdemaan schreef: ↑16 aug 2024, 12:404 jarige priester redde 4 jarige hitler van verdrinking

pSorry, hoor, dat ik je beledigd heb; ik had moeten liegen.-
twistenopdemaan - Lid geworden op: 04 aug 2019, 10:41
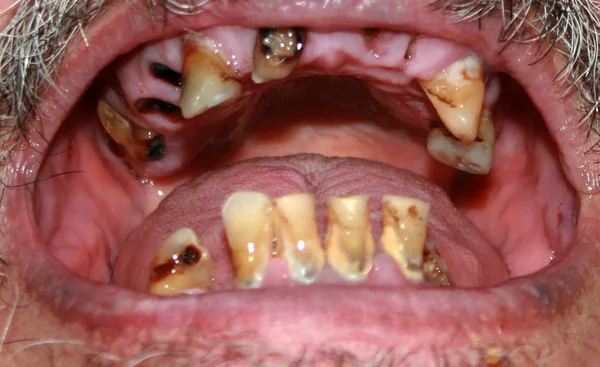
Wetenschappers hebben vastgesteld dat Hugo Johannes Blaschke de Duitse kaakchirurg niet de tandarts van Adolf Hitler was hij behandelde een vegetarische dubbelganger van hitler in plaats van hitler zelf. De persoonlijke tandarts van hitler is geheim gebleven. Wel is het zo dat in argentinie een tandarts het gebit van hitler heeft vrijgegeven en dat zou er zo uitzien
Spinnst du oder was
-
Charlie Maru - Lid geworden op: 24 dec 2011, 17:33
twistenopdemaan schreef: ↑18 aug 2024, 19:58Wel is het zo dat in argentinie een tandarts het gebit van hitler heeft vrijgegeven en dat zou er zo uitzien...

Hier klopt toch iets niet met Hitler zijn snor.....
En naar mijn weten stond er op zijn kin ook geen haar......
Rien ne se perd, rien ne se crée, tout se transforme. - A. Lavoisier
-
frits1955 - Lid geworden op: 05 nov 2016, 14:48
Na de zelfmoord van Hitler en Eva Braun werden hun lijken buiten de fuhrerbunker in Berlijn overgoten met benzine en verbrand en de resten begraven- de Sovjet troepen bevonden zich toen op enkele straten van de bunker. Na het staakt het vuren hebben de Sovjets de resten weer opgegraven en meegenomen naar Moskou - het enige wat in feite overbleef was zijn gebit en dat is nog steeds in Moskou. Alle andere verhaaltjes zijn larie.